Forside Udland Videnskabsmand forklarer: Dette er inde i hovedet på folk, der...

Videnskabsmand forklarer: Dette er inde i hovedet på folk, der hævder at have set en UFO

Videnskabsmand forklarer: Dette er inde i hovedet på folk, der hævder at have set en UFO
Foto: Youtube/Jesse Michels

En professor har testet hjernen hos folk, der siger, at de har oplevet et UFO-møde, og har fundet flere vigtige symptomer, som de alle har til fælles.

Dr. Garry Nolan er professor i patologi ved Stanford University og har brugt det sidste årti på at analysere materiale fra påståede UAP-møder (Unidentified Aerial Phenomenon).

Han fortalte Vice Mother board, at han først begyndte at undersøge emnet, da han blev spurgt om at hjælpe til med et tilfælde omhandlende to piloter, der var tæt på påståede UAP’er og oplevede “forfærdelig” hjernebeskadigelse.

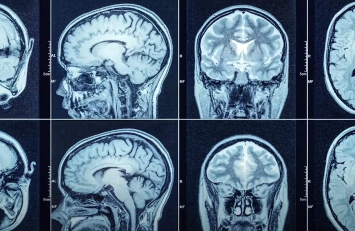
“Hvis du nogensinde har kigget på en MR-scanning af en person med multipel sklerose, er der noget, der kaldes hvide stofsygdomme,” siger han.

Foto: Youtube/Jesse Michels

“MRI-scanningen viser en stor mængde hvidt væv i hele hjernen. Dette er tegn på skader forårsaget af immunsystemet, der angriber hjernen.”

“Man kan ret hurtigt se, at der er noget galt.”

Han analyserede omkring 100 patienter, for det meste “forsvars- eller regeringspersonale eller folk, der arbejder i luftfartsindustrien”, der havde hørt mærkelige lyde i hovedet, var blevet syge osv. 

Nolans hold troede i første omgang, at disse patienters hjerner var beskadiget, men i virkeligheden havde de en “overforbindelse af neuroner mellem caudato-hovedet og putamen

Disse to dele er vigtige for hjernen: kernen caudatus spiller en afgørende rolle i forskellige højere neurologiske funktioner, og putamen påvirker motorisk planlægning, indlæring og udførelse.

Dette fænomen blandt patienterne fik Nolan til at spørge, om det var at komme i kontakt med en UAP, der forårsagede dette eller ikke.

Foto: Youtube/Jesse Michels

Ifølge forskeren døde cirka en fjerdedel af de MRI-patienter, der påstod at have mødt en UAP, af deres skader.

De fleste af disse viste sig at have symptomer, der var identiske med Havana-syndromet – en række medicinske symptomer med ukendte årsager, som især amerikanske regeringsembedsmænd og militærpersonale oplever i udlandet.

Disse symptomer kan spænde over fra hovedpine og ringen for ørerne til kognitive vanskeligheder, der først blev rapporteret i 2016 af en amerikansk og canadisk ambassadesekretariat i Havana, Cuba.

Ads by MGDK